2024年河北中考生物试题及答案
一、选择题(本大题共25小题,每小题1分,共25分。在每小题给出的四个选项中,只有一项最符合题意)
1. 细胞是生命起源的标志和生物进化的起点。所有细胞均具有的结构是( )
A. 细胞壁 B. 成形的细胞核 C. 叶绿体 D. 细胞膜
2. 下列有关细胞分裂和细胞分化的说法,错误的是( )
A. 一个草履虫通过细胞分化形成两个草履虫
B. 幼苗生长时,细胞分裂和细胞分化旺盛
C. 受精卵形成新个体离不开细胞分裂和细胞分化
D. 此时我们身体内有些细胞正在进行分裂或分化
3. 河北武强木版年画是国家级非物质文化遗产。下列年画作品表示的四种动物中,体温不恒定的是( )
A. 牛
B. 虎
C. 蛇
D. 鸡
4. 下图为天竺葵叶及其内部结构示意图。图中没有包含的植物体结构层次是( )

A. 细胞 B. 组织 C. 器官 D. 个体
5. 用我们所学生物学知识分析,下列说法错误的是( )
A. 煤主要是由古代蕨类植物的遗体形成的
B. 葫芦藓有根、茎、叶的分化,适于陆地生活
C. 种子植物的繁殖过程摆脱了对水环境的依赖
D. 青藏铁路设置的野生动物通道,减少了对藏羚迁徙的干扰
6. 萝卜、白菜是常见的蔬菜,这两种植物在生物学上的分类地位如下图所示。图中包含植物种类最多的分类等级是( )

A. 植物界 B. 白花菜目 C. 十字花科 D. 萝卜属
7. 2023年,河北省对72个县域开展生物多样性调查,发现了水杉、银杉、白鹈鹕、黑嘴鸥、细鳞鲑、松江鲈等60余种国家重点保护动植物,丰富了我省野生动植物资源数据库。下列不属于野生动植物资源保护措施的是( )
A. 就地保护
B. 国家颁布实施相关法律法规
C. 异地保护
D. 完全禁止利用
8. 同学们在路边发现了一种生长异常茂盛的植物。查阅资料获知,该植物中文名为喜旱莲子草(如下图所示),属于外来入侵植物。下列做法错误的是( )

A. 将喜旱莲子草移栽到校园
B. 向有关部门报告喜旱莲子草的情况
C. 积极参与清除喜旱莲子草的行动
D. 向周围人群宣讲外来物种入侵的危害
9. 馒头是中国传统发酵食品。制作馒头用到的微生物主要是( )
A. 青霉 B. 噬菌体 C. 酵母菌 D. 醋酸菌
10. 某同学早晨冲了一杯浓香的黑芝麻糊,其主要原料是黑芝麻种子。黑芝麻种子的营养物质主要贮存在( )
A. 胚芽 B. 胚根 C. 胚轴 D. 子叶
11. 野生大豆(如下图所示)在我国分布广,种类多。从野生大豆中筛选出的高蛋白、低脂肪等优质基因,可转入普通大豆体内培育新品种。下列关于野生大豆的说法,错误的是( )

A. 属于被子植物
B. 根瘤中的根瘤菌能固氮
C. 豆荚由花中的胚珠发育而来
D. 是大豆育种的基因资源库
12. 为研究施肥深度对干旱条件下小麦光合作用的影响,研究人员在相同条件下,选择符合实验标准的三个地块施肥、播种,长出植株后进行检测,实验数据(单位已省略)如下表所示。下列说法错误的是( )
实验处理 生理指标 | 浅施(15cm) | 中施(30cm) | 深施(45cm) |
叶绿素含量 | 1.8 | 2.1 | 2.5 |
气孔导度 | 0.12 | 0.15 | 0.18 |
光合作用速率 | 18.5 | 22.3 | 26.7 |
注:气孔导度数值越大,表示气孔开放程度越大。
A. 本实验控制的变量是施肥深度
B. 随着施肥深度增加,小麦蒸腾作用减弱
C. 小麦的光合作用速率与气孔开放程度、叶绿素含量有关
D. 干旱条件下深施肥提高了小麦的光合作用速率
13. “曲曲折折的荷塘上面,弥望的是田田的叶子”描写了池塘中荷叶相连的景色,下列能直接发育成荷叶的是( )
A. 花芽 B. 芽轴 C. 幼叶 D. 芽原基
14. 下图为肺循环示意图,箭头表示血流方向,①②③④表示结构。下列说法错误的是( )

A. ①可防止血液倒流 B. ②表示右心室
C. ③表示肺泡 D. ④内的血液为静脉血
15. 某同学在窗前远眺时,一只昆虫突然飞到眼前;经眼的一系列调节后,他看清了眼前的昆虫。能表示该过程的正确顺序是( )

A. ①②③ B. ①③② C. ②①③ D. ③②①
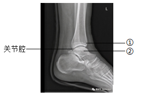
16. 下图为某人左脚的踝关节射线透视图像,①②表示踝关节内的结构。下列说法错误的是( )

A. ①是关节头,②是关节窝
B. ①②表面覆盖着关节软骨
C. 关节腔内有滑液,使关节灵活
D. 踝关节在运动中起枢纽(支点)作用
17. 结核杆菌通过呼吸道侵犯人体时,机体调动免疫系统进行防御。下列过程一定属于特异性免疫的是( )
A. 黏膜阻挡结核杆菌
B. 某些细胞吞噬结核杆菌
C. 溶菌酶杀灭结核杆菌
D. 结核杆菌刺激免疫系统产生抗体
18. 2023年,全国无偿献血的人次和献血总量均创历史新高。下列有关无偿献血的说法,错误的是( )
A. 献血前应鉴定血型
B. 献血时从手臂动脉取血
C. 献血后应适当多摄入蛋、奶等食物
D. 献血后体内血液成分短期内可恢复正常
19. 飘飞的杨絮来自杨的雌株。用杨的雄株枝条扦插繁育新植株,逐渐替换雌株,是解决杨絮飘飞的一种方法。下列实例中,与杨的扦插不属于同一种生殖方式的是( )
A. 玉米杂交育种 B. 人参组织培养 C. 桃的嫁接 D. 体细胞克隆牛
20. 同学们用3D打印技术制作了表示细胞核、染色体、DNA和基因关系的模型,如下图所示。其中a表示的是( )

A. 细胞核 B. 染色体 C. DNA D. 基因
21. 某人出现食量大、消瘦、心跳快、情绪易激动等症状。经化验,发现他的体内某种激素水平偏高,医生诊断其患甲亢。该激素是( )
A. 胰岛素 B. 性激素 C. 甲状腺激素 D. 生长激素
22. 狗由古代狼经长期驯化而来。科研人员对比狗和狼的面部肌肉,发现大多数狗的眼周围多了两块肌肉,如下图所示。这两块肌肉相互配合使狗能表现出“可怜巴巴”的表情,但哈士奇(狗的品种)没有旁侧眼睑牵拉肌。下列说法错误的是( )

A. 推测有的古代狼眼周围有这两块肌肉
B. 控制这两块肌肉的基因可遗传给后代
C. 狗“可怜巴巴”的表情是自然选择的结果
D. 哈士奇与其他品种狗的表情可能不同
23. 我们吃的食物进入消化道会发生各种变化。下列说法错误的是( )
A. 部分淀粉在口腔内分解为麦芽糖
B. 蛋白质在胃内全部分解为氨基酸
C. 脂肪经胆汁作用形成脂肪微滴
D. 脂肪在小肠内分解为甘油和脂肪酸
24. 蝇子草有雌株和雄株之分,其性别决定方式与人类相同。蝇子草体细胞中含有22条常染色体和2条性染色体。正常情况下,蝇子草卵细胞中染色体组成是( )
A. 11条常染色体+X染色体
B. 11条常染色体+Y染色体
C. 22条常染色体+X染色体
D. 22条常染色体+Y染色体
25. 2022年,在河北围场早白垩纪地层中发现了完整的古七鳃鳗化石(如下图所示)。对该化石研究得知,古七鳃鳗具有鳃孔、背鳍和尾鳍等结构特征,与现存的七鳃鳗相似。下列说法错误的是( )

A. 围场在早白垩纪时期有古七鳃鳗分布
B. 古七鳃鳗具有鳃孔和鳍,适于陆地生活
C. 现存的七鳃鳗可能由古七鳃鳗进化而来
D. 古七鳃鳗化石是研究七鳃鳗进化的直接证据
二、非选择题(本大题共5小题,共35分)
26. 河北是全国第一产梨大省。某生物小组到产梨基地开展研学活动,发现果农为提高梨的产量和品质采取了多种措施。回答下列问题.
(1)果农定期施用有机肥料。土壤中的微生物将有机肥料中的有机物分解成二氧化碳、水和______等,其中二氧化碳可被梨树叶片吸收,用于________(填“光合作用”或“呼吸作用”)。
(2)果农适时对梨树进行环剥,环剥是将树干上的一圈树皮剥去。此处理可暂时阻断叶片制造的________沿茎中的______向下运输,使其更多地留在环剥口上方,从而促进花芽的发育。
(3)果农通常采用人工授粉的方法提高梨树的坐果率。人工授粉时,可将两朵花面对面轻轻转动摩擦,确保花粉粘到雌蕊的______上。
(4)夏秋时节是梨果实发育和成熟的关键期。这段时间,产梨基地日照时间可长达12小时,昼夜温差在10℃以上,有利于提高梨的产量,原因是________。
27. 发展生态农业,助力乡村振兴。某地积极开发低洼盐碱地渔农综合利用模式,如下图所示。

回答下列问题。
(1)低洼盐碱地种植的紫花苜蓿不仅长势良好,而且能降低土壤盐碱度,增加土壤肥力。这说明它既能适应环境,也能______环境。
(2)台田上的小麦和紫花苜蓿,属于该生态系统组成成分中的________。它们固定的太阳光能,通过______在生物之间传递。
(3)池塘中,鲢鱼主要以浮游植物为食,生活在水体上层;鳙鱼主要以浮游动物为食,生活在水体上层或中上层。鲢鱼和鳙鱼的种间关系是________。养殖时发现,鲢鱼和鳙鱼的配比为3:7时,池塘生态系统保持平衡;鲢鱼和鳙鱼的配比为1:1时,水质受污染程度较高,池塘生态系统失去平衡。这说明生态系统的________有一定限度。
(4)此模式使种植和养殖有机结合,实现了对该生态系统________和能量的充分利用。加工厂对农副产品进行深加工,满足了________的生活需求,提升了低洼盐碱地的生态效益和经济效益。
28. 某人因侧腹部疼痛就医,遵医嘱憋尿进行超声检查,发现肾脏中有结石。下图为人体泌尿系统组成及部分内部结构纵切示意图,①②③表示结构。

回答下列问题。
(1)健康人的血液由肾动脉流入肾脏后,通过肾小球和肾小囊的________作用形成原尿。原尿中大部分水、全部________和部分无机盐等被肾小管重新吸收,随血液通过肾静脉汇入________,流回心脏的右心房;剩下的物质形成尿液。
(2)当膀胱中的尿液储存到一定量时,位于膀胱壁内的________受到刺激后产生神经冲动,“装满尿液”的信息沿______传到脊髓中的排尿中枢,同时上传到大脑皮层,产生尿意;需要憋尿时,大脑下达“指令”,尿道括约肌收缩,控制排尿,这属于__________反射。
(3)经体外冲击波碎石治疗后,结石变小,随尿液经________(填图中序号)运输到膀胱中暂时储存,后经尿道排出仁外。为了防止肾结石复发,医生给该患者的建议是,多喝水、适当运动、不憋尿。
29. 遗传病是影响身体健康的重要因素,了解遗传病发病规律,能规避风险,提高生活质量。镰状细胞贫血是一种人类遗传病,由一对基因(A、a)控制。基因组成为Aa的个体性状表现正常,但不能剧烈运动。在氧气充足和缺氧条件下,观察不同基因组成个体的红细胞形态如下表所示。
氧气条件 基因组成 | AA | Aa | aa |
氧气充足 | 圆饼状 | 圆饼状 | 圆饼状 |
缺氧 | 圆饼状 | 部分圆饼状,部分镰刀状 | 镰刀状 |
回答下列问题。
(1)贫血往往与红细胞异常有关。红细胞的功能主要是________。
(2)在不同的氧气条件下,基因组成为aa个体的红细胞形态不同。这说明红细胞形态是由基因组成和________共同作用的结果。
(3)一对性状表现正常的夫妇生过患镰状细胞贫血的女儿,可推断镰状细胞贫血为________(填“显性”或“隐性”)性状。这对夫妇又生了一个性状表现正常的男孩,该男孩基因组成为Aa的概率为________。
(4)利用显微镜判断(3)题中男孩的基因组成。简要写出可行的实验思路:________。
30. 日常不良用牙习惯会导致龋齿。口腔中的产酸类细菌(主要是链球菌)分解食物碎屑产生的酸性物质,易引发龋齿。最新研究发现,乳酸菌产生的某些物质对链球菌有抑制作用。科研人员拟从甲、乙、丙三种乳酸菌株中,筛选出能抑制链球菌并有治疗龋齿潜力的最佳菌株,进行了如下实验。
①无氧条件下,将等量的甲、乙、丙三种乳酸菌株,用相同培养液(该培养液对链球菌没有影响)分别进行培养,一段时间后去除乳酸菌,获得液体A、B、C。
②从液体A、B、C中各取等量液体,分别加入适量某种物质(该物质对链球菌没有影响)去除酸性物质,获得液体a、b、c。
③从上述六种液体中各取等量液体,分别做链球菌抑制实验,结果如下表所示。
液体 | A | a | B | b | C | c |
对链球菌抑制作用 | 17.5 | 14.3 | 17.6 | 12.1 | 0.0 | 0.0 |
注:数值越大,表示对链球菌抑制作用越显著。
回答下列问题。
(1)牙齿在食物消化中的作用是________。
(2)分析上述实验结果,对链球菌具有抑制作用的菌株是______。分析从同一菌株获取的不同液体对链球菌的抑制作用,推测其差异主要是由________引起的。综合分析,能抑制链球菌并有治疗龋齿潜力的最佳菌株是________。
(3)假设经上述实验筛选出的,能抑制链球菌并有治疗龋齿潜力的最佳菌株是X。请你提出一个进一步研究乳酸菌株X的科学问题:________
(4)为了预防龋齿,我们应该养成的习惯有________(答出1点即可)。
参考答案
一、选择题(本大题共25小题,每小题1分,共25分。在每小题给出的四个选项中,只有一项最符合题意)
【1题答案】
【答案】D
【2题答案】
【答案】A
【3题答案】
【答案】C
【4题答案】
【答案】D
【5题答案】
【答案】B
【6题答案】
【答案】A
【7题答案】
【答案】D
【8题答案】
【答案】A
【9题答案】
【答案】C
【10题答案】
【答案】D
【11题答案】
【答案】C
【12题答案】
【答案】B
【13题答案】
【答案】C
【14题答案】
【答案】D
【15题答案】
【答案】B
【16题答案】
【答案】A
【17题答案】
【答案】D
【18题答案】
【答案】B
【19题答案】
【答案】A
【20题答案】
【答案】B
【21题答案】
【答案】C
【22题答案】
【答案】C
【23题答案】
【答案】B
【24题答案】
【答案】A
【25题答案】
【答案】B
二、非选择题(本大题共5小题,共35分)
【26题答案】
【答案】(1) ①. 无机盐 ②. 光合作用
(2) ①. 有机物 ②. 筛管
(3)柱头 (4)充足的日照时间和较大的昼夜温差有利于光合作用和有机物的积累(合理即可)
【27题答案】
【答案】(1)影响 (2) ①. 生产者 ②. 食物链和食物网
(3) ①. 竞争关系 ②. 自我调节##自动调节
(4) ①. 物质 ②. 人们##人##人类
【28题答案】
【答案】(1) ①. 滤过##过滤 ②. 葡萄糖 ③. 下腔静脉
(2) ①. 感受器 ②. 传入神经 ③. 条件##复杂
(3)①
【29题答案】
【答案】(1)运输氧气
(2)环境 (3) ①. 隐性 ②.
(4)让该男孩在不影响身体健康的情况下,在缺氧条件下生活一段时间,然后观察其红细胞形态来判断其基因型。如果红细胞形态全部为圆饼状,则该男孩的基因型为AA;如果红细胞形态既有圆饼状又有镰刀状,则该男孩的基因型为Aa。
【30题答案】
【答案】(1)切断、磨碎食物
(2) ①. 甲、乙 ②. 乳酸菌产生的不同物质 ③. 甲
(3)乳酸菌株X产生的哪种物质对链球菌的抑制作用最强?
(4)早晚刷牙、饭后漱口、少吃甜食等(合理即可)
